



The patient was unhappy with his worn-down teeth and felt self-conscious about his smile. After undergoing Invisalign treatment, teeth whitening, and receiving zirconium crowns, he now confidently shows off his new smile.
This patient was dissatisfied with the shape and discoloration of his teeth. Following Invisalign treatment, teeth whitening, and ceramic veneers, he is now thrilled with his transformed smile.


This patient was unhappy with the shape and discoloration of his teeth. With Invisalign, teeth whitening, and natural-looking Emax crowns, we transformed his smile.


The patient was missing side front teeth and was no longer happy with the “teeth on a retainer” solution. We aligned his teeth with Invisalign, brightened them with teeth whitening, and replaced the missing teeth with a bonded ceramic Maryland bridge.


This patient was unhappy with his old, unnatural-looking crowns on his two front teeth. We replaced them with beautifully crafted Emax crowns for a more natural and aesthetically pleasing appearance.


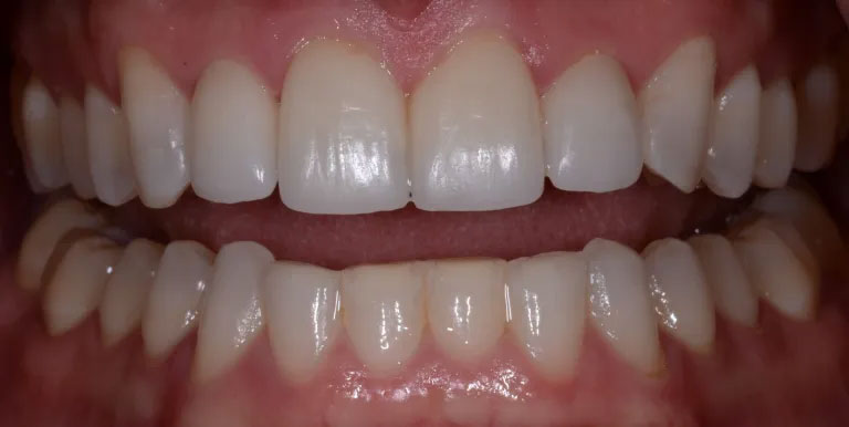
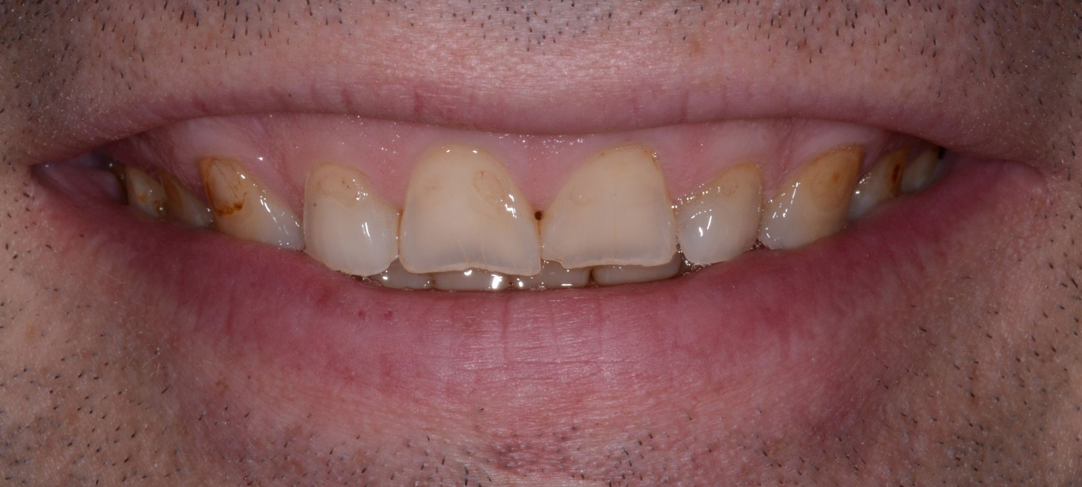
The patient had thin, worn teeth that frequently chipped and continued to wear down. After Invisalign treatment, we restored his smile with durable ceramic veneers.


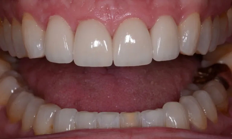
Similar to Case 6, this patient also had thin, worn teeth. We used Invisalign and ceramic veneers to enhance and protect his smile.


This patient disliked the uneven color and shape of her teeth and wanted a more natural-looking smile. We transformed her smile using Emax veneers, creating a beautifully uniform and radiant look.


The patient wanted a brighter, fuller smile. Through teeth whitening and ceramic veneers, we achieved the vibrant, confident smile he desired.


This patient was unhappy with her smile and wanted it perfected in time for her wedding. With teeth whitening and Emax crowns, we gave her a stunning smile for her special day.